Czy rezonans magnetyczny wykryje chorobę psychiczną? To pytanie zadaje sobie wiele osób, które zastanawiają się nad możliwościami diagnostycznymi tej techniki. Rezonans magnetyczny (MRI) jest szeroko stosowany w medycynie, ale jego rola w psychiatrii jest często mylona. MRI nie służy do bezpośredniego wykrywania chorób psychicznych, takich jak depresja czy schizofrenia. Jego głównym celem jest ocena strukturalnych zmian w mózgu, które mogą wpływać na zdrowie psychiczne pacjenta.
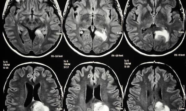
Badanie to może zidentyfikować nieprawidłowości anatomiczne, takie jak guzy mózgu czy krwiaki, które mogą być przyczyną objawów psychicznych. Ważne jest, aby zrozumieć, że MRI jest tylko jednym z narzędzi diagnostycznych, które wspiera psychiatrów w ocenie stanu zdrowia pacjenta. W tym artykule przyjrzymy się, jak MRI może pomóc w diagnostyce psychiatrycznej, jakie są jego ograniczenia oraz w jakich sytuacjach warto je wykonać. Najważniejsze informacje:- MRI ocenia struktury mózgu, ale nie diagnozuje chorób psychicznych bezpośrednio.
- Badanie może wykrywać zmiany anatomiczne, takie jak guzy mózgu czy krwiaki.
- Nieprawidłowości w strukturze mózgu mogą wpływać na objawy psychiczne.
- MRI jest nieinwazyjne i nie wykorzystuje promieniowania rentgenowskiego.
- W psychiatrii MRI jest stosowane jako uzupełnienie innych metod diagnostycznych.
- Współpraca specjalistów jest kluczowa dla prawidłowej interpretacji wyników MRI.
Jak rezonans magnetyczny może pomóc w diagnozowaniu chorób psychicznych?
Rezonans magnetyczny (MRI) odgrywa istotną rolę w diagnozowaniu chorób psychicznych, chociaż nie jest narzędziem pozwalającym na bezpośrednie wykrywanie takich schorzeń jak depresja czy schizofrenia. Głównym celem MRI w psychiatrii jest ocena struktur mózgu oraz identyfikacja anatomicznych nieprawidłowości, które mogą wpływać na zdrowie psychiczne pacjenta. Dzięki zaawansowanej technologii, badanie to pozwala na uzyskanie szczegółowych obrazów mózgu, co jest kluczowe w zrozumieniu złożoności zaburzeń psychicznych.MRI jest szczególnie przydatne w sytuacjach, gdy występują nagłe objawy psychotyczne u osób, które wcześniej funkcjonowały normalnie. Badanie to umożliwia wykluczenie organicznych przyczyn tych objawów, takich jak guzy mózgu czy krwiaki. Nieinwazyjność tej metody oraz brak promieniowania rentgenowskiego sprawiają, że jest ona bezpieczna dla pacjentów, co czyni ją idealnym narzędziem w diagnostyce psychiatrycznej.
Zrozumienie roli MRI w ocenie zdrowia psychicznego
Rezonans magnetyczny działa na zasadzie wykorzystania silnych pól magnetycznych i fal radiowych, co pozwala na wizualizację struktur mózgu z wyjątkową precyzją. Dzięki temu lekarze mogą dostrzegać nawet drobne zmiany, które mogą być istotne dla diagnozy. Na przykład, MRI może ujawnić zmiany degeneracyjne w mózgu, które mogą wpływać na zachowanie i emocje pacjenta. W psychiatrii, zrozumienie tych struktur jest kluczowe dla postawienia właściwej diagnozy oraz wyboru odpowiedniej terapii.
- MRI pozwala na identyfikację anatomicznych nieprawidłowości, które mogą prowadzić do objawów psychicznych.
- Badanie jest nieinwazyjne, co minimalizuje ryzyko dla pacjentów.
- Może być stosowane w przypadkach nagłego wystąpienia objawów psychotycznych.
| Typ zmiany | Możliwe skutki dla zdrowia psychicznego |
| Guzy mózgu | Możliwość wystąpienia objawów psychotycznych, zmian nastroju |
| Krwiaki | Problemy z pamięcią, zmiany w zachowaniu |
Jakie strukturalne zmiany mózgu można wykryć dzięki MRI?
Rezonans magnetyczny (MRI) jest niezwykle skutecznym narzędziem w identyfikacji strukturalnych zmian mózgu, które mogą mieć istotny wpływ na zdrowie psychiczne. Dzięki zaawansowanej technologii, MRI może wykrywać takie nieprawidłowości jak guzy mózgu, które mogą prowadzić do różnych objawów psychicznych, w tym zmian nastroju i zachowań. Innym przykładem są krwiaki, które mogą występować po urazach głowy i wpływać na funkcjonowanie mózgu. Dodatkowo, MRI pozwala na identyfikację zmian degeneracyjnych, takich jak te obserwowane w chorobie Alzheimera, które mogą prowadzić do pogorszenia pamięci i zdolności poznawczych.Wszystkie te zmiany mają kluczowe znaczenie dla zrozumienia stanu zdrowia psychicznego pacjenta. W przypadku nagłego wystąpienia objawów psychotycznych, MRI może pomóc w wykluczeniu organicznych przyczyn tych objawów, co jest istotne dla dalszego leczenia. Wczesne wykrycie takich nieprawidłowości może znacząco wpłynąć na wybór odpowiedniej terapii i poprawę jakości życia pacjenta.
| Typ zmiany | Możliwe skutki dla zdrowia psychicznego |
| Guzy mózgu | Zmiany w nastroju, objawy psychotyczne |
| Krwiaki | Problemy z pamięcią, zmiany w zachowaniu |
| Zmiany degeneracyjne | Pogorszenie zdolności poznawczych, demencja |
Dlaczego MRI nie diagnozuje bezpośrednio chorób psychicznych?
Rezonans magnetyczny (MRI) jest narzędziem, które skupia się na strukturalnych zmianach w mózgu, ale nie dostarcza informacji o jego funkcjonowaniu. To oznacza, że MRI nie jest w stanie ocenić, jak różne obszary mózgu współpracują ze sobą ani jak ich aktywność wpływa na zachowanie i emocje pacjenta. Różnica między obrazowaniem strukturalnym a funkcjonalnym jest kluczowa – podczas gdy MRI identyfikuje anatomiczne nieprawidłowości, takie jak guzy czy krwiaki, nie pokazuje, jak te zmiany mogą wpływać na zdrowie psychiczne. Dlatego, mimo że MRI może ujawnić pewne zmiany w mózgu, nie jest w stanie jednoznacznie zdiagnozować chorób psychicznych, takich jak depresja czy schizofrenia.
Jakie inne metody diagnostyczne są stosowane w psychiatrii?
W psychiatrii istnieje wiele metod diagnostycznych, które uzupełniają obrazowanie MRI. Wywiady kliniczne to jedna z najczęściej stosowanych technik, w której lekarz rozmawia z pacjentem, aby zrozumieć jego objawy i historię zdrowia. Testy psychologiczne, takie jak skale oceny depresji czy lęku, również są istotne w procesie diagnostycznym. Te metody pomagają w ocenie funkcjonowania psychicznego pacjenta i w identyfikacji ewentualnych zaburzeń. Dodatkowo, obserwacja zachowania pacjenta w różnych sytuacjach życiowych dostarcza cennych informacji, które mogą wspierać diagnozę.
- Wywiady kliniczne: Bezpośrednia rozmowa z pacjentem, która pozwala na zebranie szczegółowych informacji o objawach i historii zdrowia.
- Testy psychologiczne: Standaryzowane narzędzia oceny, które pomagają w identyfikacji poziomu depresji, lęku i innych zaburzeń psychicznych.
- Obserwacja zachowania: Analiza zachowań pacjenta w codziennych sytuacjach, co może ujawnić dodatkowe problemy psychiczne.


Kiedy warto wykonać rezonans magnetyczny w psychiatrii?
Rezonans magnetyczny (MRI) jest zalecany w psychiatrii w określonych sytuacjach, które mogą wskazywać na organiczne przyczyny problemów psychicznych. W szczególności, MRI powinno być rozważane w przypadkach nagłego pojawienia się objawów psychotycznych u pacjentów, którzy wcześniej funkcjonowali normalnie. W takich okolicznościach badanie to może pomóc w wykluczeniu poważnych schorzeń, takich jak guzy mózgu czy krwiaki, które mogą wpływać na zachowanie i emocje pacjenta. Ponadto, MRI może być zalecane, gdy występują objawy neurologiczne, takie jak drżenie, problemy z równowagą czy zaburzenia mowy, które mogą sugerować, że problem nie jest wyłącznie psychiczny.
Innym przypadkiem, w którym warto wykonać rezonans magnetyczny, jest sytuacja, gdy diagnoza psychiatryczna jest niepewna lub wątpliwa. W takich przypadkach, MRI może dostarczyć dodatkowych informacji, które pomogą lekarzom w podjęciu decyzji o dalszym leczeniu. Współpraca między psychiatrami a neurologami jest kluczowa, aby skutecznie wykorzystać wyniki badania w kontekście zdrowia psychicznego pacjenta.
Przykłady sytuacji, w których MRI jest zalecane
Istnieje wiele konkretnych sytuacji, w których wykonanie MRI może być korzystne. Na przykład, sudden onset of psychotic symptoms u osoby, która wcześniej nie miała problemów psychicznych, powinno skłonić lekarzy do zlecenia badania. Innym przykładem jest pacjent z nawracającymi bólami głowy, który doświadcza także zaburzeń nastroju. W takich przypadkach MRI może pomóc w identyfikacji potencjalnych przyczyn neurologicznych. Dodatkowo, pacjenci z objawami demencji mogą mieć zlecone MRI, aby ocenić, czy zmiany w mózgu są przyczyną ich problemów z pamięcią i funkcjonowaniem poznawczym.- Nagłe objawy psychotyczne: Wykonanie MRI w celu wykluczenia organicznych przyczyn, takich jak guzy mózgu.
- Neurologiczne objawy: Problemy z równowagą lub mową, które mogą sugerować schorzenia neurologiczne.
- Nawracające bóle głowy: Badanie w celu sprawdzenia, czy ból nie jest związany z nieprawidłowościami w mózgu.
Współpraca specjalistów w interpretacji wyników MRI
W interpretacji wyników rezonansu magnetycznego (MRI) kluczowa jest współpraca między specjalistami, takimi jak psychiatrzy, neurolodzy i psycholodzy. Każda z tych dziedzin wnosi unikalne spojrzenie na wyniki badania, co pozwala na lepsze zrozumienie stanu zdrowia pacjenta. Psychiatrzy mogą ocenić, jak zmiany anatomiczne w mózgu wpływają na zachowanie i emocje, podczas gdy neurolodzy koncentrują się na aspektach neurologicznych. Psycholodzy z kolei mogą dostarczyć informacji na temat funkcjonowania psychicznego pacjenta. Taka interdyscyplinarna współpraca jest niezbędna, aby zapewnić kompleksową opiekę i skuteczne leczenie.
Różnorodność perspektyw specjalistów umożliwia dokładniejszą diagnozę oraz lepsze dostosowanie terapii do indywidualnych potrzeb pacjenta. Dzięki współpracy można zidentyfikować nie tylko organiczne przyczyny problemów psychicznych, ale także opracować skuteczne strategie terapeutyczne. W ten sposób, wyniki MRI stają się integralną częścią całościowego podejścia do zdrowia psychicznego.
Jak rozwój technologii wpływa na przyszłość diagnostyki psychiatrycznej?
W miarę jak technologia medyczna się rozwija, nowe techniki obrazowania mogą znacząco poprawić diagnostykę psychiatryczną. Na przykład, funkcjonalny rezonans magnetyczny (fMRI) pozwala na obserwację aktywności mózgu w czasie rzeczywistym, co może dostarczyć cennych informacji o tym, jak różne obszary mózgu współdziałają podczas wykonywania zadań poznawczych lub emocjonalnych. Dzięki fMRI, lekarze mogą lepiej zrozumieć mechanizmy leżące u podstaw zaburzeń psychicznych i dostosować terapie do indywidualnych potrzeb pacjentów.
W przyszłości możemy również oczekiwać większej integracji danych z różnych źródeł, takich jak genomika czy analiza zachowań pacjentów, co może prowadzić do bardziej spersonalizowanego podejścia do diagnostyki i leczenia. Zastosowanie sztucznej inteligencji w analizie wyników MRI oraz danych klinicznych może również przyspieszyć proces diagnozowania i zwiększyć jego dokładność, co w efekcie poprawi jakość życia osób z zaburzeniami psychicznymi.






